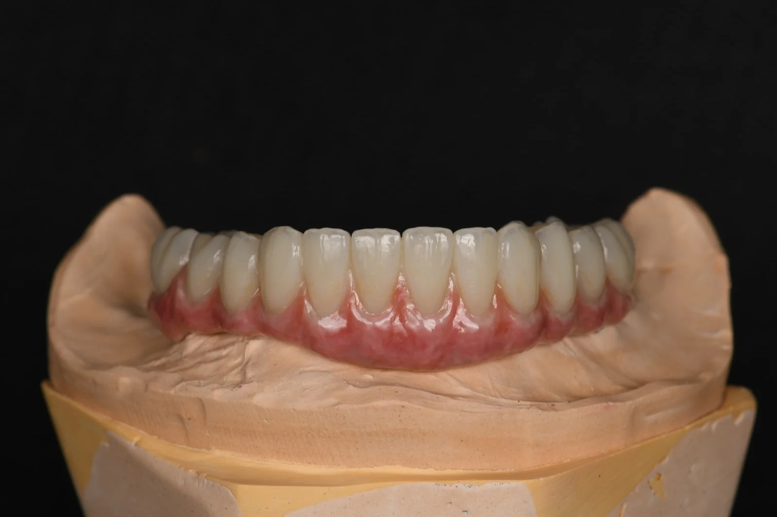
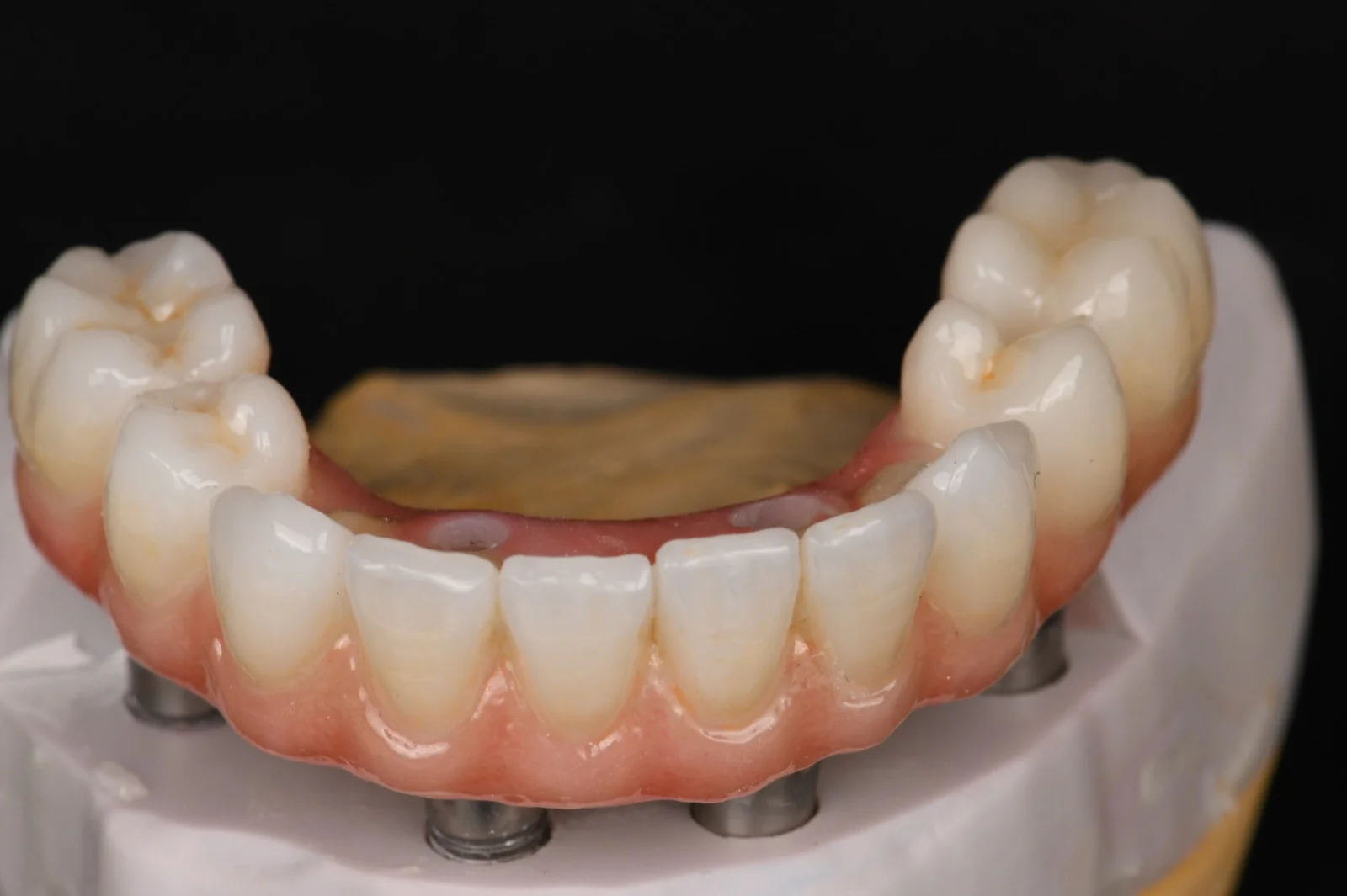
All on X Zirconia on Ti Bar – Lower Arch
Material – Two titanium bars with All on 6 Zirconia full arch
Platform – Implant, implant system is Osstem multi-unit abutment
Technology – Traditional impression




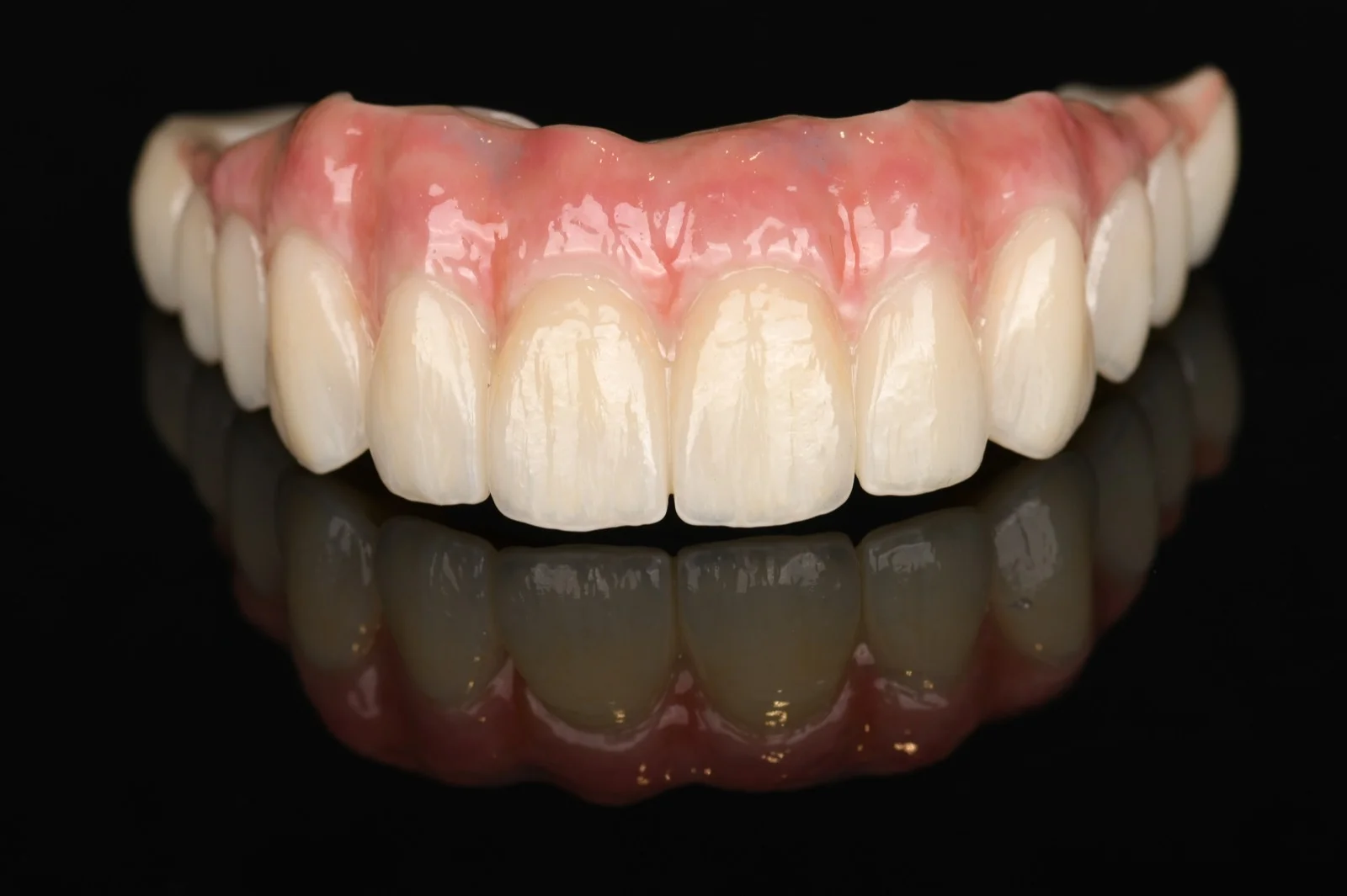
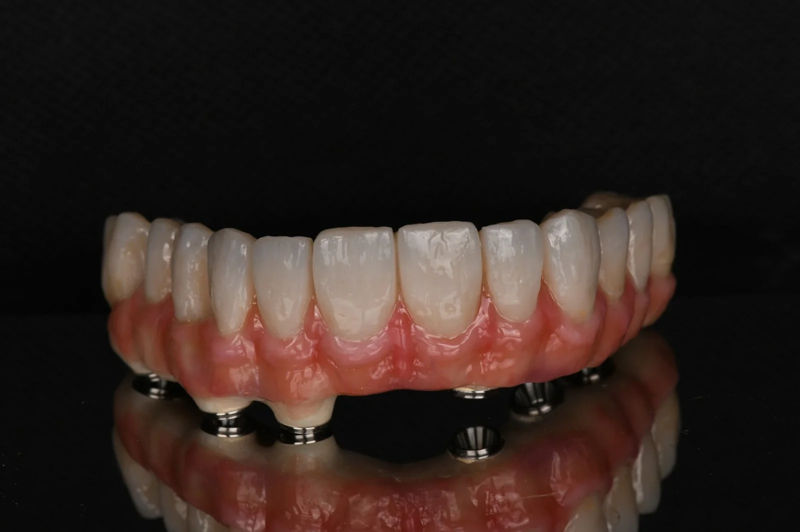
All on X Zirconia on Ti Bar – Upper Arch
Material – Two titanium bars with All on 6 Zirconia full arch
Platform – Implant, implant system is Osstem multi-unit abutment
Technology – Traditional impression




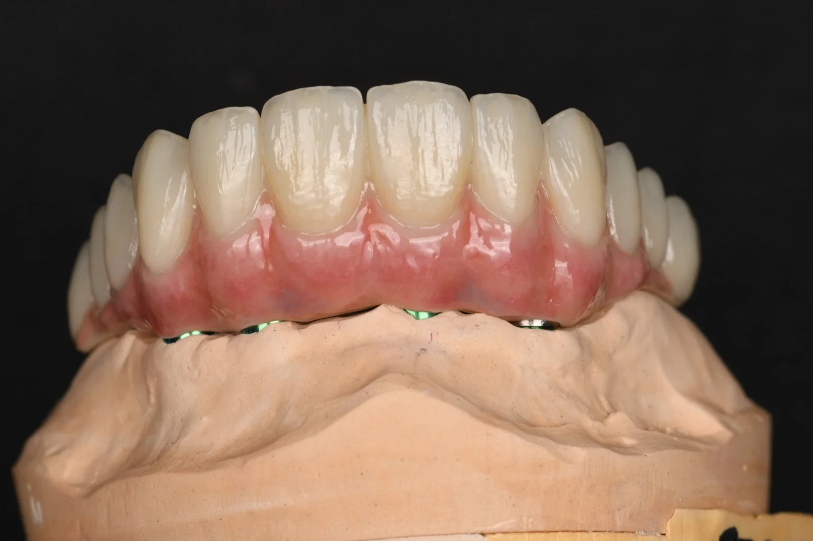
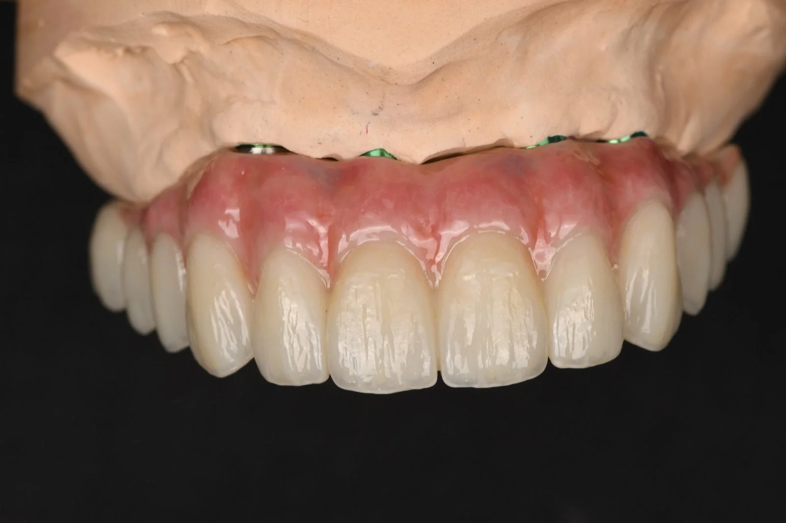
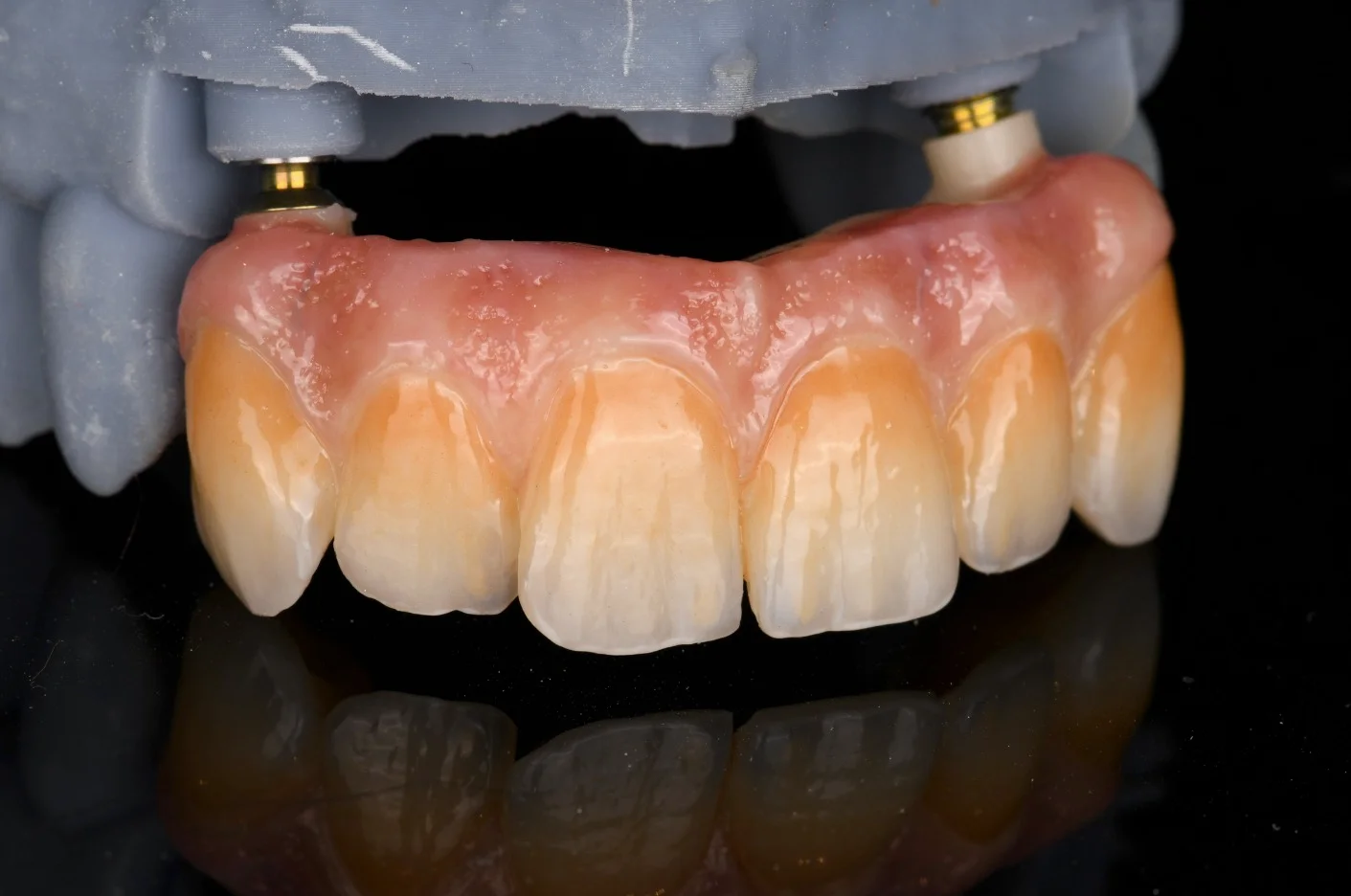
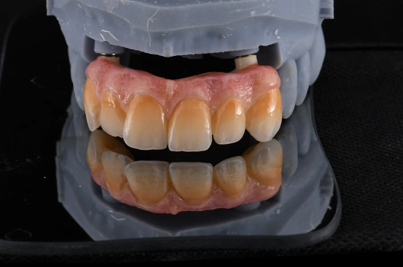
All on 4 Zirconia on Ti-Bases with Porcelain Build Up
Material – All on 4 Zirconia on Ti-bases with porcelain build up
Platform – Implant, implant system is TRI multi-unit abutment
Technology – Digital impression using intraoral scanner



All on 6 PMMA with Composite Gingiva on Anodized Ti Bar
Material – All on 6 PMMA with composite gingiva on Anodized Ti Bar
Platform – Implants with Ti-base
Technology – Scan, using intraoral scanner, milling machine, CAD-CAM design



All on X Temporary
Material: All on 6 Milled PMMA with gum layering
Platform: Implant
Technology: Digital Impression Using Intraoral Scanner, Milling Machine and CAD-CAM Design.




Screw Retained Zirconia Bridge on Two Implants
Material – Full Contour Zirconia with Miyo staining
Platform – Implants with Ti-base
Technology – Scan, using intraoral scanner, milling machine, CAD-CAM design




All on 6 Upper Jaw



Guided Surgery with Temporary






All on 6




Full Mouth Rehabilitation






Royal Dental Lab specialises in top-quality digital dental products. Our flagship offerings include Digital Wax-Up, Surgical Guides, and Digital Smile Design. These innovative products further enhance the capabilities of a digital workflow, providing dental professionals with precise and advanced solutions for wax-ups, surgical planning and smile design. Incorporating these products into your practice can elevate your digital workflow to new heights of precision and patient satisfaction.
We offer a comprehensive range of dental implant services, from planning and restorative design to clinical appointment scheduling. Our team is proficient in all major implant systems and can create fixed and removable restorations using a variety of aesthetic materials, including standard, castable, and temporary abutment implants.
We understand that each patient has specific needs and preferences, and our goal is to provide tailored solutions to meet those needs.
Digital Workflow
A digital workflow in dentistry offers significant benefits: it improves accuracy and efficiency, enhances the patient experience, promotes case acceptance, supports sustainability, and modernises the practice.
Royal Dental Lab specialises in top-quality digital dental products. Our flagship offerings include Digital Wax-Up, Surgical Guides, and Digital Smile Design. These innovative products further enhance the capabilities of a digital workflow, providing dental professionals with precise and advanced solutions for wax-ups, surgical planning, and smile design. Incorporating these products into your practice can elevate your digital workflow to new heights of precision and patient satisfaction.
Implants
Royal Dental Lab’s implant department is equipped with state-of-the-art technology and staffed with a highly experienced team.
We offer a comprehensive range of dental implant services, from planning and restorative design to clinical appointment scheduling. Our team is proficient in all major implant systems and can create fixed and removable restorations using a variety of aesthetic materials, including standard, castable, and temporary abutment implants.
We understand that each patient has specific needs and preferences, and our goal is to provide tailored solutions to meet those needs.
Aesthetic
Royal Dental Lab offers high-quality aesthetic and reconstructive work through personalised services, utilising the latest dental technology such as 3Shape Ivoclar and IPS e.max ZirCAD Prime. Our commitment to excellence and use of state-of-the-art digital equipment makes us one of the top dental labs in the UK.
Testimonials
Hear from trusted clients
The Royal Dental Lab was one of many labs I reached out to and they were happy to accommodate my work experience needs. I stayed with them for two days and the team did an incredible job at making me feel comfortable and welcomed. I was given a lot of opportunity to keep me busy and engaged throughout my time for example with helping package orders and applying ceramic onto models to expedite my dental ambitions. The atmosphere was very enjoyable and it was an insightful experience. I’d be very happy to come back and I highly recommend them to any aspiring dentist or technicians. I’m sharing some of the photos I took whilst there.
I’ve approach Royal Dental lab and enquired about work experience whilst at school. During my work experience I’ve shadowed various departments (Ceramics – Elisa, Prosthetics – Mauro and Milling Andreea and the team welcomed me warmly. I’ve found that everyone here is really passionate about what they produce and make sure their products are the top quality so that the patient and dentist are both happy. I’d recommend this laboratory to any students looking for work experience. Thanks RD 👍
Outstanding quality of work, timely delivery and great communication with lab. I have done hundreds of cases with them over last two years- many of them being demanding cosmetic anterior cases. I had one re-make during this time which was returned in 2 days. Highly recommended.
I got the opportunity to have work experience at Ivo Dentech Dental Lab where I was able to shadow 3D designing of cases and dental technicians within the prosthetics department creating a range of dental products such as dentures. I throughly enjoyed my time at the lab and the team were phenomenal; they made me feel welcomed, were enthusiastic when answering my questions and gave me a good insight into what a dental career is like. I’m grateful to have been able to spend this week here and would love to come back in the future. Would recommend any students looking for work experience, check this dental lab out!
Call us
Send a Message
Find Us
12 London Mews, London, W2 1HY
Live Chat